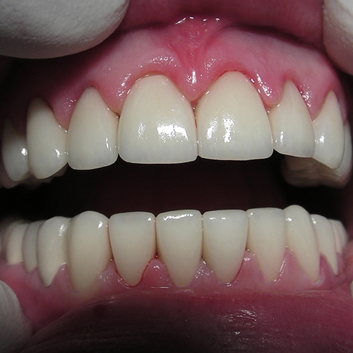
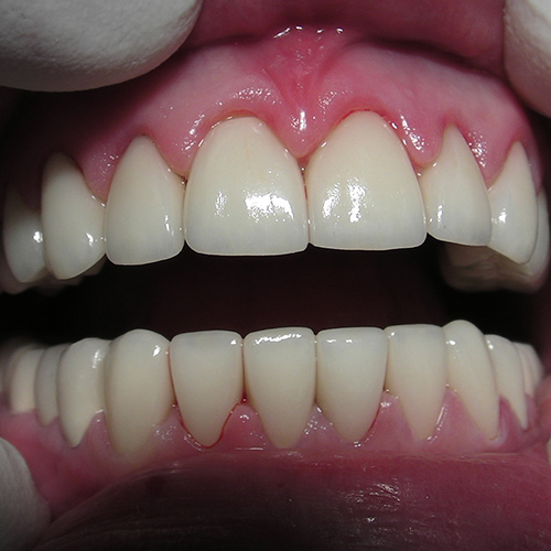
• Dental Bridge

    Bridges span the space where the teeth are missing. They are cemented to the natural teeth or implants surrounding the empty space. These teeth, called abutments, serve as anchors for the bridge. A replacement tooth, called a Pontic, is attached to the crowns that cover the abutments. As with crowns, you have a choice of materials for bridges.

    Dental Bridge: Before & After

    More Pictures